When doctors describe your brain scan as a “starry sky,” it’s not good
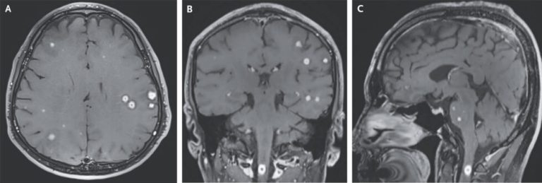
A starry sky can be stunning—even inside a hospital emergency room. But instead of celestial bodies…
A starry sky can be stunning—even inside a hospital emergency room. But instead of celestial bodies…
“The findings are a stark reminder that even the wealthiest Americans are not shielded from the…